Amal Graafstra’s handchip opent deuren

KIJK-redactie

16 september 2015 16:00

Cyborg Amal Graafstra hoeft maar met zijn handchip te zwaaien en zijn motor start.

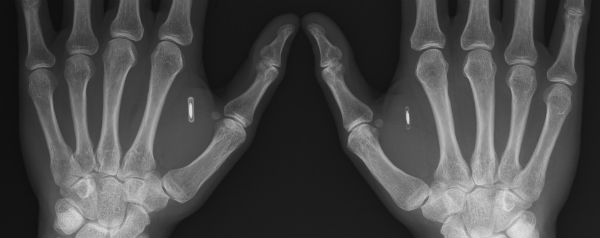
Vijf zintuigen is mooi, maar zes of zeven is nog mooier. Dat vindt Amal Graafstra. In 2005 bouwde hij voor het eerst een radiochip in zijn hand. De deur viel steeds achter hem dicht als hij een computer naar binnen wilde dragen op zijn kantoortje in Seattle. Lastig. De twee zendertjes die Graafstra nu in zijn hand heeft, openen niet alleen deuren, ze melden hem ook vanzelf aan als hij achter zijn computer gaat zitten of zijn smartphone oppakt.

Amal Graafstra“De tags in mijn hand voelen eigenlijk wel prettig aan”, mailt Graafstra. “En
het leuke is dat ik ze kan gebruiken voor allerlei nieuwe projecten. Ik hoef tegenwoordig maar met mijn hand te zwaaien om mijn motor te starten.”

Net als veel andere cyborgs verdient Graafstra geld met zijn status van mensmachine. Hij schat dat zijn bedrijfje Dangerous Things wereldwijd meer dan duizend radio-implantaten heeft verkocht. In ons land is er niet veel belangstelling voor, zegt Graafstra’s Nederlandse distributeur, Tom van Oudenaarden, piercingspecialist in Utrecht: “Ik heb vier chips van Amal geplaatst, waarvan één bij mijn vader. Hij heeft zijn keycard op de radiochip laten zetten, zodat hij als directeur zonder gedoe zijn bedrijf kan binnenlopen.”

Graafstra is niet de enige cyborg die op aarde rondloopt. Vier andere waaghalzen met bijzondere implantaten vind je in KIJK 10/2015. Deze editie is vanaf 17 september tot en met 21 oktober te koop.

Hieronder een filmpje van Amal Graafstra:

Meer informatie:

Tekst: Michiel van Nieuwstadt

Beeld (Header): Amal Graafstra, beeld (Graafstra): NYT/HH

PODCAST

De inhoud op deze pagina wordt momenteel geblokkeerd om jouw cookie-keuzes te respecteren. Klik hier om jouw cookie-voorkeuren aan te passen en de inhoud te bekijken.
Je kan jouw keuzes op elk moment wijzigen door onderaan de site op "Cookie-instellingen" te klikken."