Verzwakt poliovirus pakt hersentumor aan

Laurien Onderwater

27 juni 2018 12:59

poliovirus hersentumor

Door het beruchte poliovirus te modificeren, was het in staat om agressieve hersentumoren aan te pakken en de levensduur van een aantal patiënten te verlengen.

Virussen kunnen erg schadelijk voor de mens zijn, maar ontdoe je de ziekmakers van het schadelijke deel dan kunnen ze ons opeens helpen. Denk maar aan vaccins: die bevatten een verzwakt of delen van een virus, waardoor we zelf een immuunrespons ontwikkelen tegen het virus en er daardoor beter tegen beschermd zijn.

Verzwakte virussen worden ook al jaren ingezet als tumorkillers. Zo schreven we vorig jaar nog dat onderzoekers het beruchte zikavirus hebben gebruikt om een glioblastoom – een agressieve hersentumor – te behandelen. Nu hebben Amerikaanse artsen een verzwakt poliovirus ingezet om hetzelfde type tumor aan te pakken. En de resultaten worden voorzichtig veelbelovend genoemd.

Lees ook: Pakt het zikavirus een hersentumor aan?

Glioblastoom

Een glioblastoom is het meest kwaadaardige en meest voorkomende type hersentumor. De behandeling voor een glioblastoom is eerst een operatie (mits de chirurg er goed bij kan) vaak gevolgd door radio- in combinatie met chemotherapie, maar vrijwel altijd komt de tumor weer terug. De levensverwachting van deze patiënten is dan ook niet hoog.

Een team onderzoekers van de Duke University werkt al een tijdje aan een nieuwe behandeling, waarbij het poliovirus genetisch is aangepast. Hierdoor liet het gezonde cellen met rust en viel het tumorcellen juist aan. De artsen brachten via een gaatje in de schedel met een katheter het gemodificeerde virus druppelsgewijs in bij de patiënten. Het virus kwam hierdoor direct terecht bij de tumor.

Veelbelovend?

Aan het onderzoek deden 61 patiënten mee die al eerder een behandeling voor de hersentumor hadden ondergaan, maar waarbij de tumor was teruggekeerd. De behandelingsgroep werd vergeleken met een historische controlegroep die was samengesteld uit gegevens van patiënten die aan hetzelfde type hersentumoren leden, maar die een meer conventionele behandeling ondergingen.

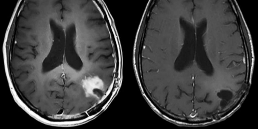
Al na negen maanden is op een MRI-scan van een patiënt te zien dat de tumor is geslonken (zie onderstaande foto). En na drie jaar bleek 21 procent van de behandelgroep nog in leven te zijn tegenover 4 procent van de controlegroep. Na ruim vijf jaar leefden er nog twee patiënten die de behandeling hadden ontvangen.

Toch lijkt de behandeling vooral op de lange termijn iets uit te halen en niet zozeer op de korte. Gedurende de eerste 18 maanden waren de overlevingspercentages van de patiënten in zowel de behandel- als de controlegroep relatief vergelijkbaar. “De onderzoekers vestigen veel aandacht op de gevallen van overleving op de lange termijn”, zegt neuro-oncoloog Andrew Lassman tegen New Atlas. “Het is niet duidelijk of deze overlevenden op lange termijn specifiek baat hadden bij deze behandeling.” Daarvoor is meer onderzoek nodig.

Veilige dosis

Het doel van het onderzoek was vooral om een veilige dosis voor het medicijn te vinden. Zo ontdekten de wetenschappers dat een te hoge dosis van het aangepaste poliovirus hersenontstekingen veroorzaakte, waarbij patiënten onder andere epileptische aanvallen kregen. Het zal dus nog wel even duren voordat de behandeling in ziekenhuizen kan worden ingezet.

Bronnen: The New England Journal of Medicine, New Atlas, Independent

Beeld: Desjardins et al., The New England Journal of Medicine

Ben je geïnteresseerd in de wereld van wetenschap & technologie en wil je hier graag meer over lezen? Bestel dan hier ons nieuwste nummer. Abonnee worden? Dat kan hier!

PODCAST

De inhoud op deze pagina wordt momenteel geblokkeerd om jouw cookie-keuzes te respecteren. Klik hier om jouw cookie-voorkeuren aan te passen en de inhoud te bekijken.
Je kan jouw keuzes op elk moment wijzigen door onderaan de site op "Cookie-instellingen" te klikken."