Filmpje: brein herstelt zichzelf na hersenschudding

kijkmagazine

18 april 2018 08:59

hersenschade

Beschadigd hersenvlies zorgt voor lekkage, maar binnen een paar dagen is dat al niet meer zichtbaar en zijn de bloedvaten hersteld. Van dat proces is nu voor het eerst een filmpje gemaakt!

Je brein wordt normaal gesproken beschermd door hersenvliezen, die bestaan uit meerdere membranen met daartussen bloedvaten en hersenvocht. Na een flinke opdonder kunnen die vliezen beschadigd raken en moet je een tijdje rustig aan doen. Je brein ligt dan ‘open en bloot’ en hersencellen kunnen zelfs afsterven.

Maar er komen geen medicijnen kijken bij het herstel, want je lichaam regelt dit – wanneer de schade niet te heftig is – gewoon zelf. Wetenschappers hebben dit opmerkelijke proces nu vast weten te leggen in muizen en zijn erachter gekomen welke soorten cellen hier een belangrijke rol in spelen.

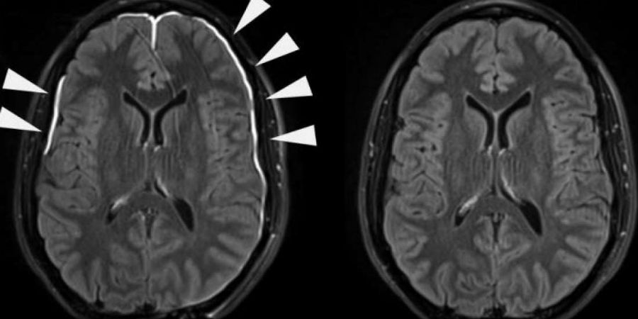
Lekkage

Het onderzoek begon toen artsen MRI-scans van het brein van mensen die nét hersenschade hadden opgelopen, vergeleken met dezelfde scans van vijf weken later. Zoals aangegeven op bovenstaande afbeelding, was er bij de eerste scans lekkage van het vlies te zien (wit), maar bij de meeste mensen was dat na een paar dagen weer verdwenen.

Het hersenvlies was dus weer hersteld, maar hoe dan? De wetenschappers hebben het getest in muizen. De hersenen van de dieren zijn tot een week na beschadiging goed in de gaten gehouden. Een samenvatting van het onderzoek is te zien in dit filmpje:

Op de eerste afbeeldingen in het filmpje zie je dat de bloedvaten zijn beschadigd en er bloed kan ontsnappen. Na slechts een week zijn de beschadigde resten verdwenen en zijn er nieuwe bloedvaten gevormd. Dat was het bewijs dat – in ieder geval bij muizen – de vliezen daadwerkelijk herstellen.

Redder in nood

Maar dan het antwoord op de vraag ‘hoe dan?’: het immuunsysteem is hier de redder in nood. Al op de eerste dag na het oplopen van schade komen er monocyten – een type witte bloedcellen – op de lekkages af, die vervolgens veranderen in zogenaamde ontstekingsmacrofagen. Deze immuuncellen gaan te werk als schoonmaakploeg en voeren oude, beschadigde cellen en andere troep af.

Wanneer het na een aantal dagen weer schoon is, arriveren er monocyten die veranderen in een ander type macrofaag, namelijk de wondhelende soort. Deze repareren de beschadigde bloedvaten en verbinden ze weer met elkaar: de lekkages zijn gedicht.

Nu duidelijker is geworden welke cellen zijn betrokken bij het helingsproces, kunnen mensen, waarbij het proces niet optimaal werkt, mogelijk worden geholpen met hun herstel. Maar zaak is gewoon rustig aan te doen als je een hersenschudding hebt, zodat je lichaam dit zelf kan repareren.

Bronnen: Nature Immunology, NINDS, IFLScience

Beeld: NINDS

Lees ook:

KIJK 4/2018Ben je geïnteresseerd in de wereld van wetenschap & technologie en wil je hier graag meer over lezen? Bestel dan hier ons nieuwste nummer. Abonnee worden? Dat kan hier!

PODCAST

De inhoud op deze pagina wordt momenteel geblokkeerd om jouw cookie-keuzes te respecteren. Klik hier om jouw cookie-voorkeuren aan te passen en de inhoud te bekijken.
Je kan jouw keuzes op elk moment wijzigen door onderaan de site op "Cookie-instellingen" te klikken."