‘Kunstmatige intelligentie voorspelt je levensduur’

Laurien Onderwater

06 juni 2017 16:00

levensduur

Dit computersysteem kan met bijna 70 procent zekerheid voorspellen of een patiënt komt te overlijden of niet.

Alsof kunstmatige intelligentie al niet genoeg van de mens overneemt, kan het systeem ook nog eens de rol overnemen van dokter House. Want onderzoekers hebben een deep learning-systeem ontwikkeld dat met hoge nauwkeurigheid je levensduur kan voorspellen. Maar of we er blij mee moeten zijn, is een tweede.

Voorspellingen doen

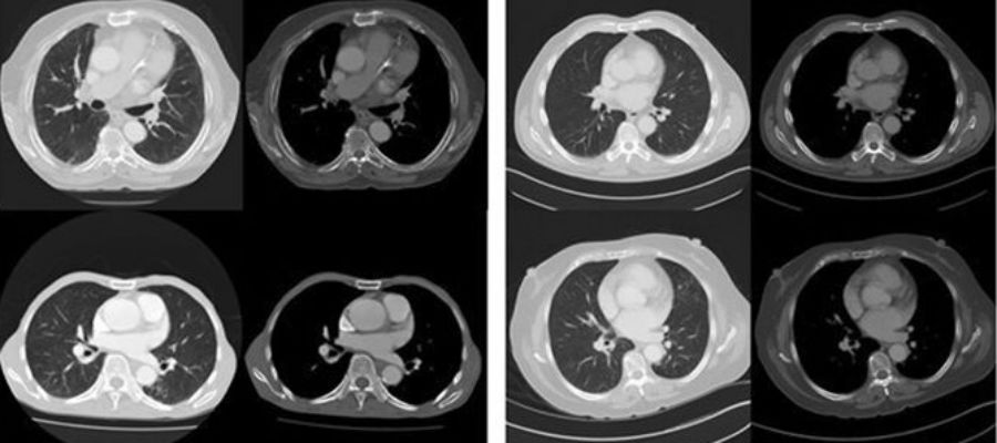
Door naar CT-scans te kijken van 48 patiënten wist een robot met 69 procent nauwkeurigheid te voorspellen of ze zouden sterven binnen vijf jaar. En volgens de auteurs van het artikel komt dat percentage overeen met de voorspelling van menselijke artsen.

Om tot dit resultaat te komen, keek het systeem naar aandoeningen als een longemfyseem, een vergroot hart en vasculaire afwijkingen, zoals bloedstollingen. Het deep learning-systeem was getraind om meer dan 16.000 foto’s van menselijke rompen te analyseren om tekenen van ziekte in die organen te herkennen.

Terwijl de onderzoekers niet precies weten wat het computersysteem in de beelden zag om zijn voorspellingen te maken, werden de meest zelfverzekerde prognoses gemaakt bij patiënten met ernstige chronische ziekten, zoals emfyseem en veel voorkomende hartfalen.

Macaber

Het doel van het onderzoek was, volgens de onderzoekers zelf, niet om een macaber diagnosesysteem te ontwikkelen. Het computersysteem keek dan ook alleen naar retrospectieve data, oftewel: gegevens van mensen die reeds waren overleden.

Wat het team hiermee wel wilde bereiken, is de basis leggen voor algoritmes die de algehele gezondheid van een mens kunnen controleren in plaats van te focussen op een enkele ziekte. Tja, dan blijft het wat ons betreft nog steeds een beetje luguber.

Bronnen: Scientific Reports, University of Adelaide, Engadget

Beeld: Oakden-Rayner et al

Ben je geïnteresseerd in de wereld van wetenschap & technologie en wil je hier graag meer over lezen? Bestel dan hier ons nieuwste nummer (geen verzendkosten). Abonnee worden? Dat kan hier!

PODCAST

De inhoud op deze pagina wordt momenteel geblokkeerd om jouw cookie-keuzes te respecteren. Klik hier om jouw cookie-voorkeuren aan te passen en de inhoud te bekijken.
Je kan jouw keuzes op elk moment wijzigen door onderaan de site op "Cookie-instellingen" te klikken."