Voorlopers van ei- en spermacellen gemaakt

KIJK-redactie

27 december 2014 13:00

Wetenschappers zijn erin geslaagd om voorlopers van ei- en spermacellen te ontwikkelen.

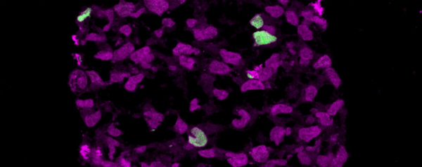
Uit menselijke stamcellen zijn cellen die zich kunnen ontwikkelen tot ei- en zaadcellen gemaakt. Iets soortgelijks is eerder gedaan met de stamcellen van knaagdieren, maar dit is de eerste keer dat de techniek wordt gebruikt om menselijke kiemcellen te maken.

Huidcellen

De wetenschappers kunnen pre-kiemcellen maken met stamcellen uit blastocyten – het klompje cellen dat later een embryo en placenta vormt – of met zogenaamde iPSCs (induced pluripotent stem cells). iPSCs worden gemaakt van volwassen cellen (in dit geval huidcellen). Die cellen worden ‘geherprogrammeerd’ via de Yamanaka-methode: door er vier genen aan toe te voegen.

Ook worden er bepaalde moleculen toegevoegd aan het medium waar de cellen in groeien. Hierdoor worden de cellen als het ware jonger en veranderen ze in een soort stamcellen. Beide celsoorten worden vervolgens bewaard in een medium. Wanneer hier cytokinen – moleculen die bepaalde receptoren van een cel activeren – aan worden toegevoegd, ontwikkelt de cel zich tot een pre-kiemcel.

Chemotherapie

De wetenschappers ontdekten dat het gen SOX17 essentieel is voor het vormen van de voorlopers van menselijke kiemcellen. Dit was een verrassing omdat dit gen bij de muis geen rol speelt. De bevinding benadrukt het verschil tussen mensen en muizen, aldus de wetenschappers.

De mogelijkheid om pre-kiemcellen te maken uit huidcellen biedt mogelijkheden voor onderzoek naar bijvoorbeeld kiemceltumoren, onvruchtbaarheid en epigenetische overerving. Mogelijk kunnen de bevindingen in de toekomst zelfs nieuwe reproductie-technieken opleveren. De wetenschappers denken bijvoorbeeld dat het mogelijk zou kunnen zijn voor vrouwen die door chemotherapie vervroegd in de menopauze komen om toch kinderen te krijgen.

Bronnen: Cell, University of Cambridge via EurekAlert!, Weizmann Institute of Science via EurekAlert!

Beeld: Walfred Tang, university of Cambridge

PODCAST

De inhoud op deze pagina wordt momenteel geblokkeerd om jouw cookie-keuzes te respecteren. Klik hier om jouw cookie-voorkeuren aan te passen en de inhoud te bekijken.
Je kan jouw keuzes op elk moment wijzigen door onderaan de site op "Cookie-instellingen" te klikken."