Ben je geïnteresseerd in de wereld van wetenschap & technologie en wil je hier graag meer over lezen? Word dan lid van KIJK!
Een kunstmatig intelligent programma zou nauwkeurig het risico kunnen voorspellen dat longtumoren kwaadaardig zijn of niet.
Longkanker is de kankersoort met de hoogste sterfte in Nederland. Jaarlijks worden er zo’n 14.000 mensen gediagnosticeerd met de ziekte en in 2019 stierven 10.200 mensen eraan. Wereldwijd werken wetenschappers dan ook hard aan manieren om deze kankersoort in een vroeg stadium op te sporen, zodat artsen op tijd met de behandeling kunnen beginnen.
Dit verhoogt de overlevingskans aanzienlijk. Een manier om longkanker vroegtijdig op te sporen, is om een kunstmatig intelligent systeem onderscheid te leren maken tussen goedaardige en kwaadaardige longgezwellen. Een team wetenschappers, waaronder Nederlandse, bedacht en ontwikkelde het.
Lees ook:
- A.I. speurt slokdarmkanker beter op dan artsen
- ‘Vroegtijdige bloedtest voor kanker komt er misschien nooit’
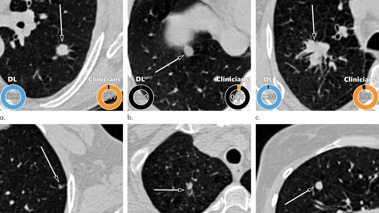
Longknobbeltjes
Mensen met klachten die bij longkanker horen, worden vaak doorverwezen naar het ziekenhuis om een longfoto te laten maken. Als op die foto een afwijking is te zien, maken artsen een CT-scan die een eventuele tumor beter in beeld brengt. Maar dan weten specialisten nog steeds niet of het om een goedaardig of kwaadaardige gezwel gaat. En hoe sneller dat onderscheid wordt gemaakt, des te sneller artsen de patiënt kunnen behandelen.
Daarom ontwikkelden onderzoekers een deep learning-algoritme dat bepaalde patronen herkent in CT-scans. Ze trainden het slimme systeem met grote hoeveelheden CT-beelden, van ruim 16.000 verschillende longknobbeltjes, net zolang totdat het op eigen kracht zowel kwaadaardige als goedaardige longtumoren kon herkennen. De CT-scans waren afkomstig van de National Lung Screening Trial.
Goed- of kwaadaardig?
In een test vergeleken de onderzoekers de uitkomsten van het algoritme met het oordeel van vier thoraxradiologen, vijf radiologie-assistenten en twee longartsen. Daaruit bleek dat het kunstmatig intelligente systeem op hetzelfde niveau presteert als deze experts. In sommige gevallen wist het zelfs beter dan een specialist of een gezwel goed- of kwaadaardig was (zie onderstaande afbeelding).

“Het algoritme kan radiologen helpen bij het nauwkeurig inschatten van het risico op kwaadaardige longgezwellen”, zegt Kiran Vaidhya Venkadesh, PhD-onderzoeker aan de Diagnostic Image Analysis Group van het Radboud UMC in een persbericht. “Dit kan leiden tot een lagere werkdruk voor radiologen en lagere kosten van longkankerscreening”, voegt onderzoeker Colin Jacobs (eveneens werkzaam bij het Radboud UMC) daar aan toe.
Toekomstbeeld
Fons van der Sommen, onderzoeker aan de TU Eindhoven die een algoritme ontwikkelde dat slokdarmkanker in een vroeg stadium kan ontdekken, is te spreken van de studie. “De resultaten van de vergelijking tussen arts en machine zijn erg overtuigend. A.I. biedt in feite een extra expert in elk ziekenhuis. Zo’n systeem gaat niet snel in performance achteruit door vermoeidheid en doet op maandag exact dezelfde voorspelling als op vrijdag. Dat maakt het erg betrouwbaar.”
Van der Sommen, die niet betrokken was bij deze studie, ziet dan ook zeker een bredere rol weggelegd voor A.I. binnen de diagnose van kanker. “A.I. kan een specialist helpen om de juiste behandelmethode te selecteren en om de resultaten van een therapie te interpreteren. Het kan bijvoorbeeld erg moeilijk zijn om te kiezen tussen een chirurgische ingreep of chemotherapie, en je kunt je voorstellen dat het geen pretje is voor een patiënt als de behandeling niet aanslaat, maar de patiënt wel met de nadelige bijwerkingen te maken krijgt, bovenop de ziekte.”
Slimme systemen
Toch is het algoritme nog niet perfect. Zo houdt het geen rekening met geslacht, leeftijd en het rookverleden van een patiënt – factoren die het ontwikkelen en het verloop van de ziekte wel degelijk bepalen. Daar werken de onderzoekers nu aan.
Daar voegt Van der Sommen nog een ander belangrijk punt aan toe: “In de studie gaat het om het algoritme versus de experts. In mijn ogen gaat A.I. in de klinische praktijk op een andere manier toegepast worden, waarbij een algoritme de arts ondersteunt. Het zou dus interessant zijn om te kijken naar de vergelijking arts met algoritme versus arts zonder algoritme.”
Bronnen: Radiology, Radiological Society of North America via EurekAlert!