Kun je sterven door je plas op te houden?

KIJK-redactie

14 juli 2014 11:00

Over de dood van de Deense astronoom Tycho Brahe (1546-1601) doen mooie verhalen de ronde. Hij zou het namelijk onbeleefd hebben gevonden om tijdens een banket naar de wc te gaan en bleef zitten. De druk liep zo hoog op dat zijn blaas knapte, waardoor Brahe stierf. Maar kan dat echt een doodsoorzaak zijn?

Die kans is erg klein. Een gezonde blaas geeft bij 500 milliliter al een signaal af en de meeste mensen kunnen hun plas ophouden tot er 800 milliliter in zit. In theorie kan de blaas zelfs uitrekken tot een inhoud van 1,5 liter, met een slappe blaas en nierbeschadiging tot gevolg.

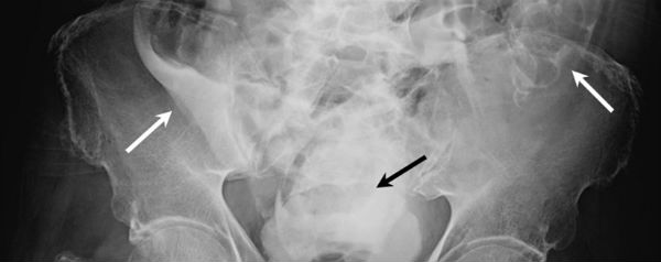
In de praktijk zal de plasreflex echter te sterk worden om hem te onderdrukken. Er zijn wel gevallen bekend waarbij de blaas scheurde, maar daarbij ging het om mensen met kanker of gebeurde het tijdens een bevalling. De urine komt dan in de buikholte terecht (zie de pijltjes op de foto) en geeft ontstekingen, die onbehandeld tot de dood kunnen leiden.

Het knappende blaasverhaal lijkt dus onrealistisch. Volgens de officiële site over Brahe stierf hij aan een blaasinfectie die hij zelf probeerde te behandelen met kwik. In 1901 werd zijn graf geopend om zijn haren te onderzoeken, en inderdaad: daar zat kwik in.

Toch was er genoeg twijfel om Brahe in 2010 weer boven de grond te halen. Zijn haar, schedel, hersenen en neusprothese (een duel met een medestudent over de kwestie wie het best in wiskunde was, leverde de Deen een geruïneerde neus op) werden uitvoerig onderzocht en de kwiktheorie sneuvelde.

Ook een vraag voor de rubriek ‘KIJK antwoordt’? Mail hem naar info@kijkmagazine.nl!

Tekst: Christa Broekhuizen

Beeld: Leaming Radiology

PODCAST

De inhoud op deze pagina wordt momenteel geblokkeerd om jouw cookie-keuzes te respecteren. Klik hier om jouw cookie-voorkeuren aan te passen en de inhoud te bekijken.
Je kan jouw keuzes op elk moment wijzigen door onderaan de site op "Cookie-instellingen" te klikken."