Magneet beïnvloedt moreel oordeel

kijkmagazine

05 april 2010 13:00

Of we een actie van een ander moreel acceptabel vinden of niet, heeft te maken met een bepaald gebiedje in de hersenen. En door dat gebiedje magnetisch te storen, kun je iemands oordeel beïnvloeden.

Dat blijkt uit een nieuw onderzoek, uitgevoerd door het Massachusetts Institute of Technology (MIT) en de Harvard-universiteit. Hierbij kregen proefpersonen allerlei verhaaltjes te lezen, waarna ze een moreel oordeel moesten vellen over een personage in zo’n verhaaltje. Bijvoorbeeld: een man laat zijn vriendin over een brug lopen, terwijl hij weet dat die elk moment kan instorten. (De brug, niet de vriendin.) Hoe fout is die man bezig?

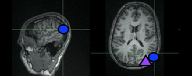
Rond deze verhaaltjes werden twee verschillende experimenten uitgevoerd. Bij het eerste werd bij de proefpersonen het hersengebiedje waar het om ging, de rechter temporo-pariëtale junctie (RTPJ), vóór de test 25 minuten lang behandeld met transcraniële magnetische stimulatie (TMS). Bij het tweede kreeg hetzelfde gebiedje een TMS-‘stoot’ van een halve seconde te verstouwen op het moment dat ze een morele beslissing namen.

Uit beide experimenten kwam hetzelfde resultaat naar voren: proefpersonen waarbij de RTPJ magnetisch werd gestoord, bleken minder goed in staat een moreel oordeel te vellen. In het bovengenoemde voorbeeld van de brug waren ze bijvoorbeeld vaker dan normaal geneigd om de actie van de man oké te vinden als de brug vervolgens niet instortte. (Wat natuurlijk krom is; het feit dat de vriendin in het verhaaltje uiteindelijk niets overkomt, maakt de actie van de man niet minder verwerpelijk. Hij kon immers van tevoren niet weten wat het resultaat zou zijn.)

Experimenteel psycholoog Sarah-Jayne Blakemore zegt op de BBC-site dat ze de resultaten van haar Amerikaanse collega’s intrigerend vindt. “Deze studie suggereert dat deze regio – de RTPJ – noodzakelijk is voor morele redeneringen. Wat daar vooral interessant aan is, is dat dit gebiedje zich pas laat ontwikkelt – in de tienerjaren en daarna. Een logische volgende stap is nu om te kijken of en zo ja hoe de moraal zich ontwikkelt tijdens het opgroeien.”

Bronnen: PNAS, BBC News, MIT

Beeld: Rebecca Saxe Laboratory/MIT

PODCAST

De inhoud op deze pagina wordt momenteel geblokkeerd om jouw cookie-keuzes te respecteren. Klik hier om jouw cookie-voorkeuren aan te passen en de inhoud te bekijken.
Je kan jouw keuzes op elk moment wijzigen door onderaan de site op "Cookie-instellingen" te klikken."