Verbeterd vaccin ontwikkeld tegen malaria

KIJK-redactie

27 december 2013 11:00

Een definitief vaccin tegen alle vormen van malaria is er nog altijd niet. Maar door een nieuw Amerikaans onderzoek lijkt dat nu wel dichterbij te komen.

De medische wetenschap houdt zich al jaren bezig met de ontwikkeling van een goed middel tegen malaria. Het Amerikaanse Walter Reed Army Institute of Research heeft nu een nieuw en verbeterd vaccin ontwikkeld tegen de ziekte.

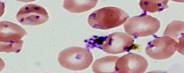
Het vaccin richt zich op het eiwit AMA1. De malariaparasiet heeft AMA1 nodig om de rode bloedcellen binnen te dringen en de ziekte te veroorzaken. In het nieuwe vaccin zit dit eiwit verwerkt. Hierdoor gaat het immuunsysteem van ons lichaam ermee aan de slag, waardoor we er immuun voor worden.

26 soorten afgeremd

Voorheen zijn er al meerdere vaccins ontwikkeld met AMA1, maar deze vaccins hielpen maar bij een van de soorten malariaparasiet. De medische wetenschap was dan ook hard op zoek naar een vaccin dat effectief optreedt tegen meerdere soorten.

De wetenschappers hebben daarom meerdere cocktails gemaakt en getest op mensen. Uit dat onderzoek is een cocktail ontworpen met AMA1-eiwitten voor vier verschillende soorten van de malariaparasiet. Deze combinatiecocktail wordt door de wetenschappers Quadvax genoemd.

Deze combinatie laat het lichaam niet alleen antistoffen aanmaken voor deze vier soorten. Hij blijkt maar liefst 26 soorten van de parasiet af te remmen.

‘Grote stap voorwaarts’

Quadvax is een verrassing voor de wetenschappers achter het onderzoek. Ze hadden namelijk wel verwacht dat het onderzoek zou leiden naar een verbreding van de bestaande vaccins, maar niet dat het zoveel soorten van de malariaparasiet zou bestrijden. Volgens de onderzoekers is dit dan ook een grote stap voorwaarts in de strijd tegen malaria.

Bron: PLOS Pathogens

Beeld: Sheetij Dutta

PODCAST

De inhoud op deze pagina wordt momenteel geblokkeerd om jouw cookie-keuzes te respecteren. Klik hier om jouw cookie-voorkeuren aan te passen en de inhoud te bekijken.
Je kan jouw keuzes op elk moment wijzigen door onderaan de site op "Cookie-instellingen" te klikken."