Negen bekende hormonen – en wat ze doen

KIJK-redactie

26 september 2025 15:00

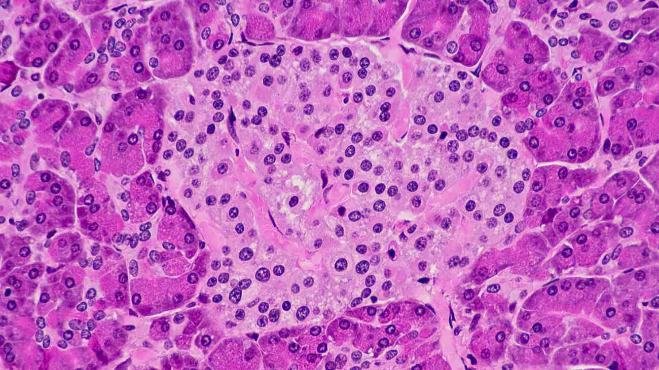
eilandjes van langerhans die het hormoon insuline produceren

Een zogenaamd eilandje van Langerhans van dichtbij bekeken. Deze ‘eilandjes’ in de alvleesklier produceren onder meer het hormoon insuline. Beeld: Getty Images.

Ben je slaperig? Of juist gestrest? Opgewonden misschien, of hongerig? Geef je hormonen maar de schuld. Negen van de bekendste – en hun functie.

Natuurlijke rem

Zit je bommetjevol na een maaltijd? Dan heeft leptine goed zijn werk gedaan. Dit hormoon wordt aangemaakt door je vetcellen en vertelt je hersenen dat je genoeg hebt gegeten. Hoe meer vetcellen, hoe meer leptine je aanmaakt en hoe eerder je het gevoel krijgt dat je vol zit. Behalve wanneer je lichaam te veel leptine aanmaakt, want dan worden je hersenen er ongevoelig voor. Resultaat: je blijft eten.

De Oes

Oestrogeen is eigenlijk niet één hormoon, maar een verzameling ‘vrouwenhormonen’. Waaronder oestriol en oestradiol. Eerstgenoemde is het primaire geslachtshormoon voor vrouwen en zorgt ervoor dat hun geslachtsorganen zich ontwikkelen. Oestriol speelt een belangrijke rol bij zwangerschap.

All you need is… oxytocine

Bij een knuffel of een zoen piekt het hormoon oxytocine in je hersenen. Deze verbinding speelt in op het beloningssysteem in het lichaam en zorgt voor een ontspannen en veilig gevoel. Niet voor niets wordt deze stof vaak het knuffelhormoon genoemd. Het speelt ook een rol bij liefdesverdriet: doordat het brein na een scheiding minder oxytocine aanmaakt, ontstaan er ontwenningsverschijnselen. Verder is deze verbinding belangrijk voor het samentrekken van de baarmoeder als er een baby geboren moet worden.

Langer fietsen

Voor duursporters is uithoudingsvermogen cruciaal. Dus zijn bijvoorbeeld wielrenners gebaat bij flink wat zuurstof. Want hoe meer zuurstof er in je lichaam zit, hoe langer je het fietsen volhoudt. Zuurstof reist door je lichaam via rode bloedcellen, die op hun beurt worden aangemaakt door beenmerg. Het hormoon erytropoëtine geeft daar opdracht toe. Vooral in de jaren negentig was erytropoëtine (epo) dan ook een veelgebruikt dopingmiddel onder wielrenners. Tegenwoordig niet meer: misbruik valt nu eenvoudig op te sporen.

Baard in de keel

Testosteron staat bekend als mannenhormoon. In de puberteit zet het nogal wat verandering in gang in het jongenslichaam. De stem wordt lager, de lichaamsbeharing neemt toe en de spieren groeien. Testosteron speelt ook een rol in het libido en geeft de talgproductie van de huid een boost. Dat laatste is geen onverdeeld genoegen: het leidt tot jeugdpuistjes.

Broodnodig

Glucose is brandstof voor je lichaam. Het zit in koolhydraten en geeft je lichaamscellen de energie om hun werk te doen. Het hormoon insuline zorgt er vervolgens voor dat de glucose door de cellen wordt opgenomen. Bij diabetes type 1 maak je geen of te weinig insuline aan; bij diabetes type 2 zijn de cellen ongevoelig voor insuline. Hierdoor kunnen organen, bloedvaten en zenuwen beschadigd raken.

Stresskip

Bij stress stroomt er een flinke dosis cortisol door je lijf, het stresshormoon bij uitstek. Het zorgt ervoor dat je lichaam in zulke situaties de focus legt op primaire behoeften. Tegelijkertijd wordt het immuunsysteem stilgelegd en komt je spijsvertering op een laag pitje te staan. Op zichzelf kan dat geen kwaad, zolang het cortisolniveau weer daalt. Zo niet, dan kun je op langere termijn allerlei lichamelijke klachten krijgen.

Slaap, kindje, slaap

De meeste mensen krijgen als het donker wordt op een zeker moment slaap. Dat komt door melatonine: die verbinding stuurt je als het ware naar bed. Melatonine wordt aangemaakt in de epifyse (pijnappelklier). Na zonsondergang maakt deze klier meer melatonine aan en dwingt je eigenlijk om te gaan slapen. Zodat je er de volgende dag, hopelijk fris en fruitig, weer tegenaan kunt.

Smeltend geluk

Waarom veel mensen dol zijn op chocolade? Het bruine goud zit vol met tryptofaan, een eiwit dat een belangrijke rol speelt in de productie van serotonine. Die stof komt vrij in de hersenen en heeft invloed op je stemming (en ook je eetlust, slaap, temperatuurregulatie, leervermogen, geheugen en libido). Weet je meteen waarom serotonine ook wel het gelukshormoon wordt genoemd.

Dit lijstje komt uit onze gloednieuwe special over het menselijk lichaam. Daarin lees je meer over de enorm belangrijke rollen die hormonen spelen, maar ook wat te veel stilzitten met je spieren doet, waarom seks zo lekker is, en hoe zweten onze soort verder bracht. Bestel deze special in onze webshop, of eenvoudig via de knop hieronder.

Tekst: Berry Overvelde

PODCAST

De inhoud op deze pagina wordt momenteel geblokkeerd om jouw cookie-keuzes te respecteren. Klik hier om jouw cookie-voorkeuren aan te passen en de inhoud te bekijken.
Je kan jouw keuzes op elk moment wijzigen door onderaan de site op "Cookie-instellingen" te klikken."