Mist deze man nou een deel van zijn hersenen?

Laurien Onderwater

12 maart 2018 12:59

hersenen

Toen een 84-jarige man in Ierland bij de dokter kwam met klachten over instabiel zijn, ontdekte de arts een bizarre reden daarvoor.

Als arts maak je bijzondere gebeurtenissen mee. Sommige dagen zijn just another day at the office, terwijl andere werkdagen je lang bijblijven. Dat laatste moeten artsen hebben gehad bij deze Ierse patiënt. De 84-jarige man was naar zijn huisarts gegaan, omdat hij in de afgelopen maanden regelmatig was gevallen. Ook voelde hij sinds de laatste drie dagen vrijwel niks aan de linkerkant van zijn lichaam.

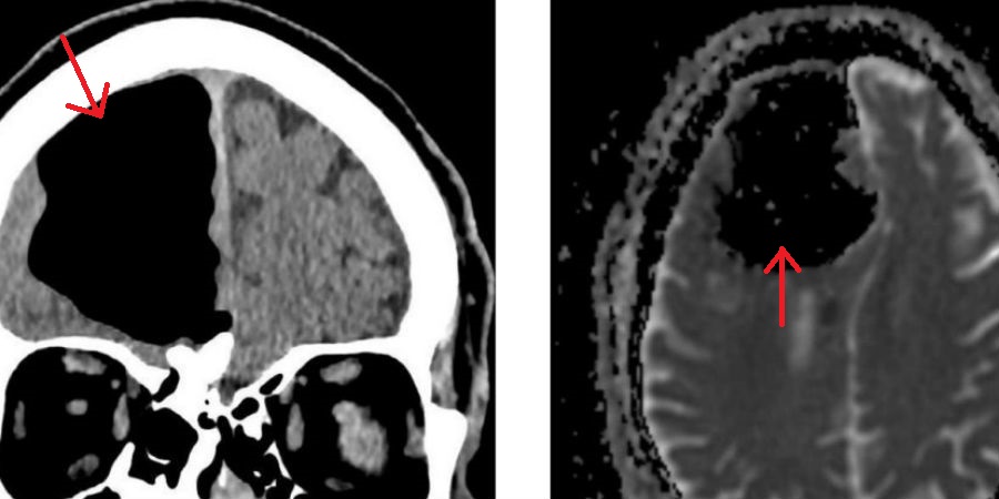
Omdat instabiliteit en halfzijdige zwakte vaak zijn geassocieerd met een beroerte, werd de man naar het ziekenhuis doorverwezen voor een CT-scan. Toen de artsen de resultaten van die scan zagen, waren ze met stomheid geslagen: op de plek waar normaal gesproken de rechter frontale hersenkwab zit, was nu een groot zwart gat te zien. Miste deze man een deel van zijn hersenen?

Luchtzak

Om die bizarre diagnose uit te sluiten, maakten de dokters ook nog een MRI-scan van het hoofd van de Ier. En die wees uit dat beide hersenhelften van de man nog helemaal intact waren. Wat kon dan wel het zwarte gat op de CT-scan verklaren?

Een pneumatocoele, ook wel een luchtzak genoemd is de boosdoener. Dit verschijnsel ontstaat vaak als gevolg van verwondingen aan het gezicht, luchtweginfecties, of bij mensen die een operatie hebben ondergaan voor schedelbasistumoren. Maar geen van deze gebeurtenissen bleek de reden te zijn voor de luchtzak in het hoofd van de 84-jarige patiënt.

Goedaardige bottumor

Wat wél de reden is, is een osteoom: een goedaardige bottumor op het zeefbeen (dat de neusholte van de hersenen scheidt). Door deze tumor is een deel van het zeefbeen weggesleten, waardoor lucht de schedel in wordt geduwd resulterend in een luchtzak.

Bovendien bleek de huisarts gelijk te krijgen: de man had inderdaad ook een kleine beroerte gehad door de druk die de luchtzak op zijn hersenen uitoefende. De artsen in het ziekenhuis stelde een operatie voor, waarbij neurologen de lucht zouden halen uit de patiënt zijn brein, terwijl een KNO-arts de bottumor zou verwijderen.

Geen operatie

Maar aangezien elke operatie risico’s met zich mee brengt, zag de 84-jarige Ier ervan af. Hij werd behandeld met medicijnen tegen stollingen om de kans op nog een beroerte te verkleinen. Twaalf weken later moest de man weer langskomen voor controle en bleek de gevoelloosheid aan de linkerkant van zijn lichaam weg te zijn.

De huisarts publiceerde de bijzondere medische zaak in de British Medical Journal om “het belang van grondig onderzoek van zelfs de meest voorkomende symptomen te benadrukken, omdat er af en toe een zeldzame (of onbekende) oorzaak is die over het hoofd kan worden gezien”, zei hij. En wij geven hem groot gelijk.

Bronnen: BMJ Case Reports, ScienceAlert, Live Science

Beeld: Lehmer et al./BMJ Case Reports

Lees ook:

KIJK 3/2018Ben je geïnteresseerd in de wereld van wetenschap & technologie en wil je hier graag meer over lezen? Bestel dan hier ons nieuwste nummer. Abonnee worden? Dat kan hier!

PODCAST

De inhoud op deze pagina wordt momenteel geblokkeerd om jouw cookie-keuzes te respecteren. Klik hier om jouw cookie-voorkeuren aan te passen en de inhoud te bekijken.
Je kan jouw keuzes op elk moment wijzigen door onderaan de site op "Cookie-instellingen" te klikken."