Model ontwikkeld voor baarmoederhalskanker

Laurien Onderwater

14 april 2021 15:08

baarmoederhalskanker

Nederlandse wetenschappers hebben het eerste menselijke organoïdemodel voor baarmoederhalskanker ontwikkeld.

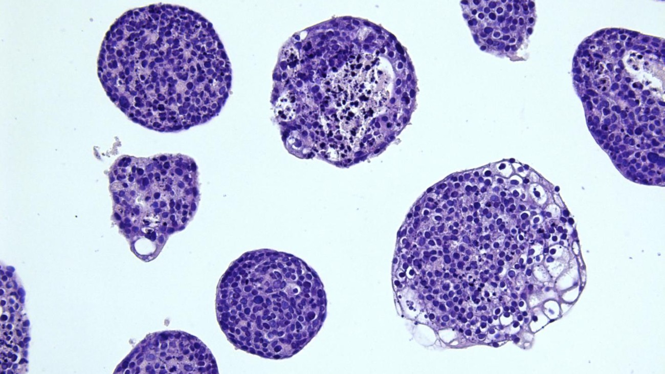
Organoïden, in het lab gekweekte driedimensionale en vereenvoudigde orgaantjes die orgaanfunctie nauwkeurig nabootsen, halen steeds vaker het nieuws. Ze hebben als doel om ziektes te bestuderen, de ontwikkeling van het orgaan te volgen of de potentie van medicijnen te testen. Onderzoekers van het Utrechtse Hubrecht Instituut zijn er nu in geslaagd organoïden te kweken van gezond en ziek baarmoederhalsweefsel. Het team, onder leiding van Hans Clevers, wil het model gebruiken om verschillende aandoeningen te onderzoeken.

Lees ook:

Baarmoederhalsweefsel

De wetenschappers haalden baarmoederhalsweefsel uit gezonde vrouwen en kweekten die op tot organoïden. De 3D-structuren lijken sterk op echte baarmoederhalscellen, ontdekte het team, wat ze veelbelovend maakt voor onderzoek. Zo kan de groep onder meer achterhalen wat er gebeurt als een virus de menselijke baarmoederhals infecteert, meldt het Hubrecht Instituut in een persbericht.

Ook namen de onderzoekers een uitstrijkje bij patiënten met verschillende typen baarmoederhalskanker. De organoïden die daaruit werden gekweekt – tumoroïden genoemd – lijken erg op echte tumoren en zijn daardoor eveneens geschikt voor bestudering. Zo zagen de wetenschappers al dat de tumoroïden verschillend reageerden op chemobehandelingen. Dat zou de weg naar gepersonaliseerde geneeskunde vrijmaken.

Medisch maatwerk

Dankzij precision medicine – precisiegeneeskunde of medisch maatwerk – kunnen behandelingen tegen onder meer kanker worden toegesneden op patiënten. Hierbij ligt de nadruk op het identificeren van welke benaderingen effectief zijn voor patiënten op basis van hun genetische, omgevings- en leefstijlfactoren.

“Deze studie is een heel mooi voorbeeld van de toegevoegde waarde van zulke realistische celkweekmodellen”, zegt Andries van der Meer van de Universiteit Twente die onderzoek doet naar organen op een chip. “Je kunt echt met je neus bovenop ziekteprocessen staan die normaal gesproken onzichtbaar blijven – omdat ze zich in het lijf van een patiënt afspelen, nog lang voordat ze symptomen beginnen te vertonen. De kennis die we zo opdoen kunnen direct leiden tot nieuwe doelwitten om toekomstige behandelingen op aan te laten grijpen.”

Bronnen: Cell Stem Cell, Hubrecht Instituut

Beeld: Kadi Lõhmussaar/Hubrecht Institut

Cover_KIJK_9_2025_website

Ben je geïnteresseerd in de wereld van wetenschap & technologie en wil je hier graag meer over lezen? Word dan lid van KIJK! 

PODCAST

De inhoud op deze pagina wordt momenteel geblokkeerd om jouw cookie-keuzes te respecteren. Klik hier om jouw cookie-voorkeuren aan te passen en de inhoud te bekijken.
Je kan jouw keuzes op elk moment wijzigen door onderaan de site op "Cookie-instellingen" te klikken."