Ben je geïnteresseerd in de wereld van wetenschap & technologie en wil je hier graag meer over lezen? Word dan lid van KIJK!
De Iseult MRI-scanner in Frankrijk weet in vier minuten tijd superscherpe beelden te schieten.
Een Magnetic Resonance Imaging-scanner wordt vaak gebruikt bij hersenonderzoek of onderzoek naar gewrichten, organen, spieren of pezen. Vroeger puur om te kijken wat er aan de hand was, tegenwoordig ook om bijvoorbeeld de precieze positie van een naald of katheter te bepalen tijdens kleine operaties.
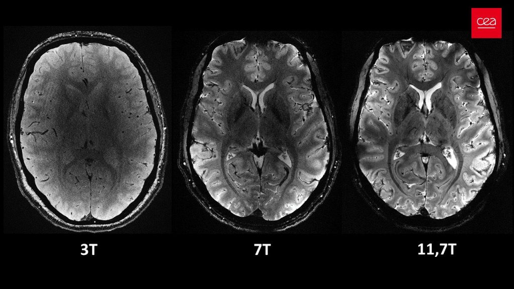
Het apparaat gebruikt sterke magneten en elektromagnetische radiogolven om afbeeldingen te maken. De sterkte van de magneten worden uitgedrukt in tesla. Voor scanners in ziekenhuizen ligt deze tussen de 1,5 en 3 tesla. ‘s Werelds krachtigste MRI-scanner, in Parijs, bereikt echter een sterkte van 11,7 tesla. En dat verschil zie je, zo maakt onderstaande afbeelding – onthuld door de Alternative Energies and Atomic Energy Commission (CEA) – duidelijk.

Lees ook:
Pompoenen
Naast de scherpte van de beelden die de zogenoemde Iseult MRI-scanner schiet, zijn er nog wat voordelen aan de krachtpatser. Zo neemt het apparaat een stuk minder lang de tijd dan conventionele MRI-scanners: in slechts vier minuten klaart hij de klus. Ook is de opening wat groter – een diameter van 90 centimeter in plaats van de gebruikelijke 60 tot 70 centimeter. Comfortabeler voor de patiënt.
Twintig jaar geleden startte Frankrijk met de bouw van de Iseult MRI-scanner. Om het apparaat te testen, scande het een paar jaar terug eerst pompoenen. Inmiddels hebben tientallen menselijke vrijwilligers in de scanner gelegen. Het apparaat moet ons uiteindelijk meer inzicht geven in onder andere de werking van het brein, ons bewustzijn, neurodegeneratieve ziektes zoals de ziekte van Alzheimer en Parkinson, en het effect van medicijnen in de hersenen.
Nog krachtiger
Overigens schreven we vorig jaar over een subsidie die Nederland heeft gekregen om de gevoeligste MRI-scanner ter wereld te maken. Deze komt te staan op het terrein van het Radboudumc en de Radboud Universiteit in Nijmegen en moet de 14 tesla aantikken.
Openingsbeeld: © CEA